在局部麻醉中,除了弯曲牙龈外,我们还会减少受影响区域的骨/牙龈的数量。之后,该区域被缝合在一起。在牙冠延长手术后,愈合后,牙龈会后退,因此,我们的牙齿会比刚开始时更大。
使用完全符合卫生要素的无菌工具进行干预。牙冠延长手术也可在麻醉下进行。
牙冠延长的费用取决于几个因素。手术的价格主要取决于干预的程度和手术面积的大小。牙冠延长价格可以在页面底部找到,或者可以在牙科价格页面上找到。
如果牙冠延长是长期保护牙齿的唯一可行方案,请致电+36 70 88 66 816!
我还需要做牙冠延长手术吗?
由于蛀牙很深,通常需要进行牙冠延长手术。其目的是确保要制作的假牙边缘不太靠近牙床,以便将来保持无炎症状态。如果没有牙冠的延长,这些牙齿就不能被正确的边缘闭合来代替。
牙冠延长手术是否可以出于美观的原因进行?
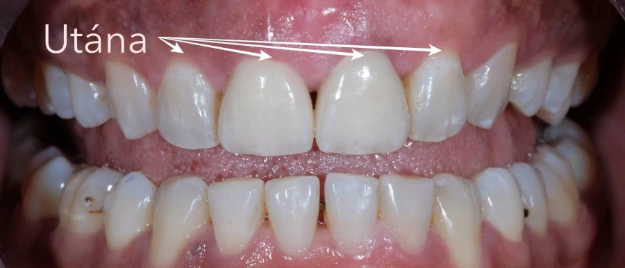
对于我们的露龈笑患者来说,只有通过进行牙冠延长手术来重新定位软组织,也就是牙龈,从而增加临床牙冠的长度,才能改善门牙的美观。这种方法甚至可以改善不对称的牙龈轮廓。
牙冠延长手术痛吗?
我们通常谈论的是一个小的门诊手术,它总是在局部麻醉下进行,所以手术没有任何疼痛。手术干预后的不适大多可以忽略不计。
