对于所有人来说,我们的口腔中都生活着数以百万计的细菌,这是事实。在健康的情况下,上述细菌的数量,即口腔卫生的质量,与牙齿周围的免疫系统防御机制保持平衡。在这种情况下,口腔中没有临床可察觉的炎症。
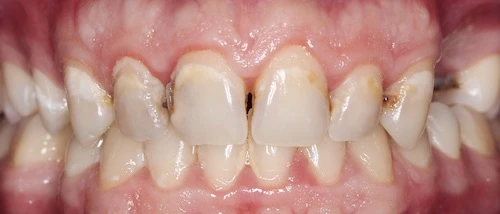
当由唾液不断形成的牙菌斑粘附在牙齿表面并且没有被充分清除时,问题就开始了。在这种情况下,牙菌斑和附着在其表面的数百万细菌会在我们口腔中的所有表面上形成厚厚的、有利于炎症的沉积物。在这种情况下,我们谈论的是牙龈炎症(牙龈炎)。右边是牙龈炎的图像。
如果上述的牙菌斑层没有在适当的刷牙帮助下分解或擦掉,几天后它就会钙化,形成所谓的牙垢。
传统的刷牙技术不再可能去除牙垢,它需要牙医或牙科保健员和一套仪器的帮助。
无论是在牙齿的游离表面还是牙垢表面形成一层新鲜牙菌斑,它总是会因定居在那里的病原体而促进牙龈发炎。
综上所述,我们可以说,牙龈发炎的原因是口腔中积聚的牙菌斑层,以及粘附在其上的大量细菌。口腔卫生不良以及所有其他导致刷牙困难的因素,例如:
在各种因素和倾向的存在下,牙龈炎很容易导致更严重的牙龈疾病的发展,即使您没有感到疼痛。如果出现牙龈发炎的症状,例如牙龈出血,您应该及时到我们的诊所,以便我们调查问题。在大多数情况下,口腔炎症的解决方法快速、简单,并且效果显着。我们期待您的光临!
László Lukács 博士,牙周病学家
有些药物是牙龈炎发生的诱发因素。这并不意味着它们本身就足以导致病变的出现,但将它们与少量附着的牙菌斑结合在一起就足以引起牙龈炎,因为它们会增加身体的炎症反应。
由药物引起的牙龈炎和牙龈肿大可以通过仅限于牙齿之间的牙龈三角区域(牙龈乳头)来识别。哪些药物会产生牙龈炎的副作用?
用含有其他活性成分的替代品代替这些药物可能是一个解决方案。当然,这个决定只能由主治医生做出。
我们体内荷尔蒙的变化也会导致牙龈炎的发生,牙龈炎主要影响女性。这可能是怀孕期和更年期。 60-70%的健康女性会发生这种情况,因此保持无可挑剔的口腔卫生非常重要。
饮食种类不足、低纤维和维生素摄入不足也会导致牙龈炎的出现。充足的维生素 C 水平起着极其重要的作用。
吸烟还会对牙龈状况产生负面影响,并加剧牙龈问题和牙龈炎的严重程度。它刺激组织,可导致口腔粘膜发炎和其他组织变性。
众所周知,我们的精神状态和压力水平会影响我们身体的自我防御能力,因此它实际上可以或多或少地影响我们身体的所有过程。在这方面,心理因素也可能在牙龈炎的发展和严重程度中发挥作用。
牙周病和牙龈炎的发展受到遗传倾向的影响。对于家庭成员中已经出现牙龈问题的家庭,应始终更加注意识别牙龈问题。因此,参加定期筛查测试非常重要。
不幸的是,牙龈炎的症状并不总是引起患者的警惕,因为许多人认为这些看似轻微的症状并不会对口腔健康构成任何严重威胁。然而,应该指出的是,即使是最轻微的症状也可能是影响整个牙床的更严重、通常不可逆转的疾病的征兆,例如牙龈萎缩(牙周炎)。
在某些情况下,我们的患者可能会出现不愉快的症状甚至疼痛。健康的牙龈与发炎的牙龈很容易区分。
牙龈炎的症状如下:
在牙科诊所出现牙龈发炎的最大风险是,如果不进行治疗,在某些情况下它可能会扩散到牙周组织的其他组织,导致牙周炎和牙龈萎缩。牙龈萎缩(同时也会破坏骨骼)的发展还必须存在其他因素,但如果这些因素存在,牙齿的支撑结构就会遭受不可逆转的损害。
治疗牙龈出血就像了解牙龈出血的原因一样简单。成功治疗的秘诀是去除口腔中积聚的牙菌斑和牙垢,并使其永久消失。
当然,这并不总是那么简单,因为当牙齿拥挤或边缘闭合非常不精确的假牙存在时,必须完美去除牙菌斑时,就会遇到困难。
在大多数情况下,牙龈发炎的治疗涉及牙医、牙周病医生或牙科保健员使用各种手动或机械工具、抛光机和特殊 EMS 设备(定向生物膜治疗)去除牙齿和牙龈表面上的牙菌斑和牙石,然后抛光牙齿和牙龈表面。清洁后的表面光滑。您可以在此处阅读有关去除牙垢的更多信息。
同时,我们帮助患者学习正确的刷牙技术,并推荐可在工作日更有效地去除牙菌斑的其他工具。我们将向您展示牙线和牙缝清洁刷的正确使用方法,以及口腔消毒剂和消炎漱口水的使用方法。
仅当出现化脓性牙龈炎或疼痛性牙龈溃疡时,才需要药物治疗牙龈炎。在治疗急性牙龈炎或治疗疼痛性牙龈炎时,也可以考虑抗生素治疗,但这一决定始终由专家负责。有时这会导致高烧和其他一般症状。
为了保持无炎症状态,矫正和更换旧的、不精确的固定边缘假牙也至关重要。在此,请向我们的牙医同事寻求帮助,他们在准备每个填充物、嵌体、牙冠或牙桥时牢记牙齿修复体的清洁性。在所有情况下,我们都会通过精确、仔细的准备来制作牙齿修复体。
在家治疗牙龈炎也非常重要,从而补充专业治疗。最好不要将牙龈炎视为一种偶尔发生的轻微疾病,而是一种我们必须每天采取行动应对的持续潜伏的危险。
然而,除了在家治疗之外,不要忘记专业的牙科护理,因为这是识别和治疗最初看似无辜的隐藏过程的唯一方法。根本不建议在家治疗化脓性牙龈炎等晚期过程。
如果在完美的刷牙过程中有时辅以抗菌漱口水,那么在家治疗牙龈出血是最成功的。这不仅有助于去除牙菌斑,还可以消除口臭。
使用牙刷对抗牙龈炎是保持完美口腔卫生的必要因素,但还不够。用牙线或齿间清洁剂清洁齿间空间也很重要,因为普通牙刷无法到达这些区域,因此对牙龈炎的发展至关重要。
牙龈发炎可以在家使用各种漱口水进行治疗,但它不能代替机械清洁,只能作为补充。
有一些刻画剂可以考虑用于治疗牙龈炎,但与使用漱口水类似,这些只是治疗中的额外辅助手段,我们相信去除牙菌斑是所有情况下的主要治疗步骤。
鉴于上述情况,与所有疾病一样,在这种情况下预防该过程也是最有利的。除了减少致病因素之外,还可以通过保持适当的口腔卫生来实现。
除了在家中采取的卫生措施外,预防措施还包括定期进行专业清洁和筛查,建议每 6 个月进行一次。
预防牙龈炎并前往 Helvetic Clinics 诊所进行检查。在布达佩斯市中心预防牙龈炎、治疗牙龈炎,只需一个电话即可。请致电 +36 70 886 6816,我们将竭诚为您服务!
我的牙冠旁边的牙龈发炎,呈紫色。这会不会是炎症?
非精确的边缘闭合,即所谓的具有突出边缘的沿牙冠,保持牙龈清洁要困难得多,因为积聚在那里的牙菌斑随后会引起炎症甚至骨质流失。在这种情况下,用易于清洁、边缘精确的假牙替换牙冠、假牙和填充物非常重要。
牙龈出血怎么办?
牙龈出血是一种非常常见的症状,您不应立即想到最坏的情况。然而,定期去看牙医很重要,以便专家可以检查牙龈出血的原因。在简单的情况下,去除牙垢可能就足够了,并在家中辅以适当的口腔卫生。牙龈出血根本不是暂停机械清洁和刷牙的理由,而是建议更彻底的刷牙。
牙龈炎是否被视为病灶?
如果炎症仅发生在牙龈上,我们就可以不把其当作病灶。如果这种情况扩散到更深的组织并发生牙周病,那么需要予以重视。

