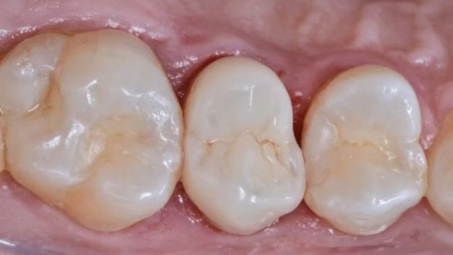
牙嵌体是牙科技术员为修复牙齿而制作的牙假体,它被粘在一个准备好的钻孔的牙腔中。粘接后,它修复了牙齿缺失的部分,恢复牙齿原有的美观和功能。
根据受嵌体影响的牙齿区域,我们可以讨论嵌体、高嵌体、覆盖嵌体的修复体。嵌体牙套是上面最小的,因为它只覆盖凹槽区域,而不覆盖边缘的区域。
我们所说的高嵌体,已经是指影响牙齿更大面积的牙齿修复,延伸到牙齿边缘的一部分。因此,高嵌体可以承受更大的负荷。覆盖嵌体的程度最大,它覆盖了牙尖,所以整个咀嚼面都受到影响。覆盖嵌体很大,但比牙冠小。
制作嵌体插入物有无数的优点:
嵌体可以由几种不同的材料制成。我们可以谈论美学嵌体,其材料可以是陶瓷(IPS e.max®)或特殊塑料(Gradia®),但也有贵金属牙科嵌体,其材料是黄金,在这种情况下,制作出黄金嵌体。
嵌体修复属于间接修复的一种,因为它需要牙科实验室作为背景。
塑料或复合嵌体是由著名的光活化复合材料制成的,在实验室条件下用于牙科填充物。它的耐磨性更高,因为牙科实验室提供了硬化材料的完美机会。嵌入材料中的陶瓷颗粒也改善了材料的物理性能。在执行过程中,它由几个层组成,通过适当的颜色分层。复合嵌体的物理性能优于填充物。
IPS e max 压制陶瓷嵌体是嵌体中的顶级产品。在Helvetic诊所,我们使用高质量的材料,使患者在匈牙利布达佩斯可以用上这种耐用的嵌体。我们更喜欢使用由Ivoclar Vivadent(列支敦士登)制成的e-max镶嵌。
IPS e.max®是我们这个时代最超前的创新之一,结合了不妥协的美学、硬度(360-400 Mpa)和无可挑剔的精度。在这种情况下,e-max嵌体的基本材料是预制陶瓷。它可以用于陶瓷嵌体、高嵌体和覆盖嵌体。
在根管治疗后,也建议做嵌体修复牙冠,因为在根管治疗过程中,我们在扩大和揭开根管时要牺牲大量的牙齿组织,这使得牙齿无法抵抗咀嚼力所产生的巨大力量。当做嵌体时,边缘被“包裹”和覆盖。这样,我们可以尽量避免折断根管治疗过的牙齿。
如果在牙科咨询期间牙医决定需要嵌体,您将收到我们的书面治疗计划。它包括所有必要的牙科治疗并附带保证条款。
插入物或嵌体填充物也可以根据价格分类。插入物的材料和类型,以及制作技术,都会对价格产生影响。E Max嵌体比塑料嵌体更贵。不同牙科嵌体的价格可以在页面底部或牙科价格页面上找到。
如果您正在寻找一种嵌体解决方案来完美地修复您的牙齿,我们的嵌体专家正在期待您的光临,电话:+36 70 88 66 816!
